Opsomming
Sutherlandia frutescens (L) R. Br. bevat verskeie essensiële bioaktiewe verbindings met farmakologiese aktiwiteit waarvoor daar kliniese bewyse bestaan. Sutherlandia word vir mense met tuberkulose voorgeskryf, maar niemand weet nog watter verbindings in hierdie plant Mycobacterium tuberculosis en die werking daarvan teenwerk nie. Hierdie studie het ten doel om te bepaal of S. frutescens antimikobakteriese verbindings bevat. Bogrondse dele van S. frutescens is gedroog, gemaal en met etanol:metanol [1:1] (vol./vol.) en water onttrek. Die chemiese profiel is bepaal deur hoëverrigting vloeistofchromatografie-massaspektrometrie en dunlaag-chromatografie te gebruik. Die dunlaagchromatografie is in butanol:asynsuur:water (BAW) [21:6:3], chloroform:metanol:water:mieresuur (CMWM1) [60:15:2:1] en CMWM2 [21:9:1:0.3] ontwikkel. Die kwalitatiewe anti-oksidant-aktiwiteit is bepaal deur 2.2 difeniel-2-pikrielhidrasiel (DFPH) te gebruik. Die antimikobakteriese aktiwiteit van die plantekstrakte is bepaal deur mikro-verdunning en bio-outografiese metodes teen Mycobacterium smeagmatis te gebruik. Ons het lae antimikobakteriese aktiwiteit teen M. smegmatis in die bio-outogramme waargeneem. Die profiele van die hoëverrigting vloeistofchromatograpfie-massaspektrometrie het meer verbindings in die etanolekstrakte as in die waterekstrakte aangedui. Die gemiddelde waardes vir minimum inhibeerderkonsentrasie vir al die ekstrakte was 0.61 mg/mL. Die DCM:MeOH (1:1) ekstrak het die laagste minimum inhibeerderkonsentrasie-waarde, naamlik 0.28 mg/mL gehad. Die resultate het getoon dat die plant verder vir moontlike antimikobakteriese agente ondersoek kan word. Lae aktiwiteit is waargeneem, waarskynlik as gevolg van stadig vermeerderende bacilli en nie-vermeerderende organismes. Die studie bied voorlopige wetenskaplike ondersteuning vir die tradisionele medisinale gebruik van hierdie plant.
Navorsing korrelasie: Hierdie artikel is die vertaalde weergawe en is beskikbaar gestel om ‘n breër lesersgroep te bereik. Die oorspronklike Engelse artikel is beskikbaar hier: https://doi.org/10.4102/satnt.v36i1.1486
Abstract
Sutherlandia frutescens (Fabaceae) extracts used for treating tuberculosis do not have high activity against Mycobacterium smegmatis. Sutherlandia frutescens (L) R. Br. contains several essential, bioactive compounds with clinically-proven pharmacological activities. Sutherlandia is prescribed for people with tuberculosis but it is still not known what compounds in this plant acts against Mycobacterium tuberculosis and its mode of action. This study is aimed at determining if S. frutescens extracts contain antimycobacterial compounds. Aerial parts of S. frutescens were dried, ground and extracted with ethanol, dichloromethane:methanol 1:1 (v/v) and water. The chemical profiling was done using HPLC-MS and thin layer chromatography (TLC). TLC plates were developed in butanol:acetic acid:water (BAW) to the ratio of 21:6:3; chloroform:methanol:water:formic acid (CMWF1) [60:15:2:1] and (CMWF2) [21:9:1:0.3]. Qualitative antioxidant activity was done, using 2.2 diphenylpacryl -2-hydrazyl (DPPH). Antimycobacterial activity of the plant extracts was evaluated, using micro-dilution and bioautographic methods against Mycobacterium smegmatis. Low antimycobacterial activity against M. smegmatis was observed on the bioautograms. The ethanol extracts contained more compounds compared to water extracts on HPLC-MS chromatographic profiles. The average Minimum Inhibitory Concentration (MIC) values for all the extracts were 0.61 mg/mL units and the DCM: MeOH (1:1) extract had the lowest MIC value of 0.28 mg/mL. The results showed that the plant could be further explored for possible antimycobacterial agents. Low activity was observed, possibly due to lowly replicating bacilli and non-replicating organisms. The study provides preliminary scientific validation of the traditional medicinal use of this plant. Further studies are required to identify the bioactive compounds in the DCM: MeOH 1:1 extract which showed significant antimycobacterial activities.
Research correlation: This article is the translated version, made available to provide access to a larger readership, of which the original English article is available here: https://doi.org/10.4102/satnt.v36i1.1486
Inleiding
Sutherlandia frutescens is ’n inheemse medisinale plant wat kommersieel in Suider-Afrika verbou word, wyd bekend is en baie gebruik word. S. frutescens bevat verskeie essensiële bioaktiewe verbindings met farmakologiese aktiwiteite waarvoor daar kliniese bewyse bestaan (Haraguchi 2001:1; Ojewole 2008:126; Prevoo, Swart & Swart 2008:118). Dit maak die plant aanloklik as geneesmiddel vir verskeie kwale en siektes. Die Suid-Afrikaanse Departement van Gesondheid beveel Sutherlandia aan as ondersteunende behandeling vir mense met verworwe immuniteitsgebreksindroom (VIGS) (Mills et al. 2005:1; SA Healthinfo 2009:1; Seier et al. 2002:1). Dit word ook in die behandeling van kanker, tuberkulose (tering), diabetes, angs en kliniese depressie voorgeskryf (Mills et al. 2005:1; SA Healthinfo 2009:1; Van Wyk 1997).
Tuberkulose is ’n hoogs aansteeklike siekte wat deur Mycobacterium tuberculosis veroorsaak word en jaarliks miljoene mense se dood veroorsaak. Dit is ook een van die algemeenste ko-infeksies onder mense met VIGS en vererger dus die MIV/VIGS-pandemie. Die geneesmiddels wat tans gebruik word om tuberkulose mee te behandel, moet oor ’n lang tydperk geneem word en gevolglik staak baie mense die behandeling voortydig wat tot die ontwikkeling van weerstandigheid lei. Daar is ook ’n toename in middelweerstandige stamme wat as ’n betekenisvolle gesondheidsbedreiging beskou word (WHO 2007a; 2007b). Daar word wêreldwyd pogings aangewend om geneesmiddels te ontdek wat vinniger werk en wat ook effektief teen die middelweerstandige stamme is. Hoewel Sutherlandia vir mense met tuberkulose voorgeskryf word, weet niemand nog of die ekstrakte wel oor antimikobakteriese aktiwiteite beskik nie en watter verbindings in hierdie plant M. tuberculosis en die werking daarvan kan teenwerk nie. Hierdie studie het beoog om die aktiwiteit van ekstrakte uit Sutherlandia frutescens teen Mycobacterium smegmatis te ondersoek. M. tuberculosis groei uiters stadig en hou biologiese gevaar in ’n laboratorium in. M. smegmatis bevat ’n soortgelyke selwandstruktuur as M. tuberculosis en word algemeen in laboratoriumeksperimente vir navorsing gebruik omdat dit vinniger groei en nie patogenies is nie (Reyrat & Kahn 2001). Boonop beperk die hoogs aansteeklike aard van Mycobacterium tuberculosis die gebruik daarvan vir die grootskaalse sifting van moontlike kandidate vir geneesmiddels. Daar is bevind dat M. smegmatis ’n middel-sensitiewe profiel vertoon wat soortgelyk is aan die van M. tuberculosis (Chaturvedi et al. 2007). Die plantekstrakte is hoofsaaklik teen hierdie vinnig-groeiende en nie-patogeniese mikobakteriële stam gesif met die doel om aktiewe verbindings te identifiseer wat later teen Mycobacterium tuberculosis se sjikimiaatkinase getoets sou kon word. Die studie het beoog om voorlopige data oor antimikobakteriese aktiwiteit in vitro as ’n eerste stap tot verdere ondersoeke te bied.
Materiaal en metode
Plantversameling
Ons het 150 g vars bogrondse dele (blare en takke) van Sutherlandia op ’n gemeenskapsgebaseerde plaas in Petrusburg in die Vrystaat versamel (29° 6.774′ S; 25° 24.305′ E; 1249 m bo seevlak). ’n Twygie met ’n blom aan is vir identifisering na die Suid-Afrikaanse Nasionale Biodiversiteitsinstituut (SANBI) gestuur (monsternommer 428679 op SANBI bewysstuk). Die plantmateriaal is fyngemaal en teen kamertemperatuur geberg totdat die toetse afgehandel is.
Ekstraksieprosedure
Die ekstraksie van plantmateriaal op die tradisionele manier
Gedroogde bogrondse dele (blare en takke) van S. frutescens (50 g) is in twee liter gedistilleerde water gekook op ’n warmplaat met ’n staalekstraksiefles wat met aluminiumfoelie bedek is, en dit is af en toe geroer. Die suspensie is van die warmplaat verwyder en teen kamertemperatuur afgekoel en toe deur filtreerpapier (Whatman nr. 1) gefiltreer en in ’n gemerkte glasbeker versamel. Die waterige ekstraksie is gevriesdroog en ’n poeier is daaruit verkry. Die ekstrak is teen 4 °C in ’n lugdigte houer geberg totdat verdere toetse gedoen is
Die ekstraksie van plantmateriaal met organiese oplosmiddels
Een liter 96% etanol is by 50 g plantmateriaal geroer en oornag gelaat. Die suspensie is die volgende dag deur filtreerpapier (Whatman nr. 1) filtreer en laat verdamp om ’n etanolekstrak te bied (oormatige etanol in die ekstrak is verwyder deur oornag in ’n dampkas met sterk lugvloei te laat). Nog 50 g plantmateriaal is gebruik om ’n 1:1 dichlorometaan:metanol-ekstrak (DCM:MeOH; 1,4 L) te berei. Dieselfde prosedure is gebruik as om die etanolekstrak te berei.
Fitochemiese analise
Die bepaling van die chemiese profiel met dunlaag chromatografie
Die verbindings in die plantekstrak is met behulp van dunlaagchromatografie (DLC) ontleed deur aluminiumgesteunde DLC-chromatogramme te gebruik (Merck, silika jel 60 F254). Die DLC-chromatogramme is onder versadigde toestande ontwikkel met elk van die drie mobiele fases wat verskil wat polariteit betref, te wete: (1) chloroform:metanol:water:mieresuur (CMWM1) [60:15:2:1), (2) chloroform:metanol:water:mieresuur (CMWM2) [21:9:1:0,3) en (3) butanol:asynsuur:water (BAW) [21:6:3]. Die chromatogramme is onder ultravioletlig (254 nm en 365 nm) besigtig vir verbindings wat fluoresserend is. Dit is ook later met vanillien(Sigma)- swaelsuurreagens gespuit en verhit om die kleure van die verskillende verbindings in elke ekstrak sigbaar te maak.
Kwalitatiewe toets met 2.2-difeniel-pikrielhidrasiel op dunlaagchromatografie
Die chromatogramme is voorberei soos in die vorige afdeling beskryf en is dit in ’n dampkap uitgedroog. Die chromatogramme is met 1.2 % 2.2-difeniel-1-pikrielhidrasiel (DFPH) in metanol gespuit ten einde enige moontlike antioksidantverbindings in die geskeide plantekstrakte sigbaar te maak. Die bande/verbindings wat antioksidanteienskappe getoon het, is vergelyk met die bande wat antimikobakteriese aktiwiteit getoon het om te bepaal of die waargenome antimikrobiese eienskappe aan die antioksidanteienskappe van die ekstrakte toegeskryf kan word. Die teenwoordigheid van antioksidantverbindings is waargeneem deur geel kolle op ’n pers agtergrond op DLC-chromatogramme wat met 0.2 % DFPH in metanol gespuit is (Deby & Margotteaux 1970)
Chemiese profielbepaling met hoëverrigting vloeistofchromatografie1-massaspektroskopie
Die water- en etanolekstrakte is vir hierdie eksperiment gebruik en 25 mg van elke ekstrak is in ’n buisflessie afgeweeg en 2 mL HPLC-graad metanol is bygevoeg. Die mengsel is 10 min lank in ’n ultrasoniese bad geplaas en deur Acrodisc® GHP spuitfilters filtreer voordat dit in 2 mL HPLC-buisflessies geplaas is. Die onderskeie monsters is ontleed deur ’n WATERS HPLC heksiel-feniel skeidingsmodel te gebruik. Atlantis T3-kolomme (150 mm x 2.1 mm, 5 µ partikelgrootte) wat in serie gekoppel is, is vir die skeiding gebruik. UV-sigbare opsporing is gedoen op ’n WATERS PDA wat tussen 200 m en 500 nm kan skandeer. Die mobiele fase wat gebruik is, was 0.1 % (vol./vol.) mieresuur in water (A) en metanol (B). Die verhouding van die mobiele fase wat voorberei is, word in Tabel 1 aangetoon. Massaspektrometrie-opsporing is gedoen deur ’n WATERS Synapt G1-massaspektrometer te gebruik en tussen 100 Dalton en 1000 Dalton te skandeer met ’n skanderingtyd van 0.2 sekondes. ’n Elektrosproei inoniseringsmodus (ESI) met sowel positiewe as negatiewe polariteit is gebruik. Die werkstoestande in die ESI-put was soos volg:
- brontemperatuur: 120 °C
- optika: V-modus optika
- desolvasietemperatuur: 450 °C
- kapillêre spanning: 2500 V
- keëlspanning: 20 V
- ekstraksiekeëlspanning: 4 V
- desolvasie: 800 L/h
- keëlgas: 50 L/h
- gas gebruik: stikstof
- eindmassakalibrant: leusien-ensefalien 50 pg/mL oplossing in 50 % waterige asetoonnitriel (vloei gestel om 100 tot 200 ioontellings per sekonde te gee).
| TABEL 1: WATERS oplosmiddelbestuurtoestande. |
Die inspuitingvolume was 3 mL en die tyd wat die eksperiment geloop het, was 30 min.
Voorlopige antimikobakteriese toetsing met Mycobacterium smegmatis
Organisme gebruik
Mycobacterium smegmatis is van die Departement Biowetenskappe by die Wetenskaplike en Nywerheidsnavorsingsraad (WNNR) verkry. Die M. smegmatis is in ’n sop van Middlebrook 7H9 wat 0.05% Tween 80 en 10% (vol./vol.) bevat het, aan die lewe gehou. Die kultuur is met ’n Ziehl-Neelsen-vlek getoets voordat dit in die antimikrobiese toetse gebruik is. Die kultuur is van die sop na ’n agarplaat oorgeplaas en binne twee weke gebruik. Daar is toe subkulture van die kultuur op hellings gekweek en vir twee tot drie maande geberg.
Kwalitatiewe antibakteriële aktiwiteitstoets deur bio-outografie
Bio-outografiese studies word, volgens Begue en Kline (1972), op DLC-chromatogramme uitgevoer om die belangrikste bioaktiewe verbindings in die ongesuiwerde ekstrakte op te spoor. DLC-chromatogramme is met 10 µl van elke plantekstrak gelaai en in BAW, CMWM1 en CMWM2 ontwikkel. Die chromatogramme is vier dae lank onder ’n lugstroom geplaas sodat die oplosmiddels kan verdamp. Die chromatogramme is toe met INT gespuit en 30 min lank geïnkubeer. Inhibisiesones is as wit strepe teen ’n pienk agtergrond waargeneem.
Kwantitatiewe antibakteriële aktiwiteitstoets deur minimum inhibisiekonsentrasie
’n Kwantitatiewe antibakteriële aktiwiteitstoets is in 96-put mikrotiterplate uitgevoer, soos deur Eloff (1998) beskryf, om die minimum inhiberende konsentrasie (MIK) van die plantekstrakte, wat met H2O, EtOH en DCM:MeOH 1:1 ge-ekstraheer is, te bepaal. Daar is 100 mL gesteriliseerde gedistilleerde water in 11 van die 12 bane van die 96-put mikrotiterplate opgelos en 100 mL dimetiel-sulfoksied (DMSO) is as ’n negatiewe kontrole in die twaalfde baan opgelos. Verder is 100 mL rifampisien wat as die positiewe kontrole gebruik is by die eerste put op die elfde baan bygevoeg en ’n reeksverdunning is aan die einde van die baan gemaak. Die oorblywende inhoud van die pipet is uitgegooi om die volume in elke put dieselfde te maak. Alle plantekstrak is weer in DMSO opgelos teen ’n konsentrasie van 10 mg/mL. Daarna is 100 mL van elke ekstrak by die eerste putjies op bane een tot nege bygevoeg en in ’n reeks verdun, terwyl die tiende baan met net steriele gedistilleerde water gelaat is en dus ook as negatiewe kontrole beskou is. Daarna is 100 mL gestandaardiseerde Mycobacterium smegmatis in ’n sopkultuur in al 96 putjies bygevoeg en die chromatogramme is 24 h lank teen 37 °C geïnkubeer. Na die inkubasietydperk is 10 mL 0.2mg/mL p-iodonitro-tetrasolium-violet (INT) in water by al 96 putjies gevoeg om die teenwoordigheid van bakteriese groei in die chromatogramme te bepaal en die chromatogramme is vir nog 45 min teen 37 °C geïnkubeer om kleur te laat ontwikkel. Die teenwoordigheid van aktief-groeiende bakterieë is aangedui deur INT wat van kleurloos tot ’n pienk-rooi kleur gereduseer is. Die MIK is aangeteken as die laagste konsentrasie van die plantekstrak wat die groei van Mycobaterium smegmatis na 24 uur geïnhibeer het en elke ekstrak is in triplikaat getoets. Die totale aktiwiteit van die ekstrakte is in mL/g bereken deur die MIK deur die hoeveelheid wat van 1 g plantmateriaal onttrek is, te deel. Die gevolglike waarde dui die volume aan waartoe die ekstrak verdun kan word terwyl dit steeds die groei van mikro-organismes inhibeer (Eloff 2004).
Resultate
Die massa van plantekstrak
Die hoeveelheid monster wat ge-ekstraheer is word in Tabel 2 aangedui. Plantmateriaal wat met 96% etanol onttrek is, het meer ekstrak opgelewer as die plantmateriaal wat met ander oplosmiddels onttrek is.
| TABEL 2: Verskillende hoeveelhede ongesuiwerde ekstrakte van Sutherlandia frutescens wat deur ekstraksie met verskillende oplosmiddels verkry is. |
Dunlaagchromatografie-profielbepaling vir fitochemiese analise van plantekstrak
Die bepaling van DLC-vingerafdrukke is gebruik om die fitochemikalieë in die plantekstrak wat ge-ekstraheer is, te ontleed. Daar is drie oplosmiddels gebruik, te wete water, etanol en DCM:MeOH 1:1 (vol./vol.). Die ekstrak is weer met chloroform:metanol 1:1 (vol./vol.) opgelos tot ’n konsentrasie van 10 mg/mL. DLC-chromatogramme is met 10 mL van die voorbereide ekstrakoplossings gelaai en skeiding van die verskillende verbindings is waargeneem nadat die chromatogramme in CMWM1, CMWM2 en BAW ontwikkel is en met 0.1 mL vanillien-swaelsuur gespuit is soos in Figuur 1 aangetoon.
 |
FIGUUR 1: Die DLC-chromatogramme (a, b en c) is van links na regs in CMWM1, CMWM2 en BAW ontwikkel. Die DLC-chromatogramme is met 0.1% vanillienswaelsuur gespuit om die skeiding van die verbindings sigbaar te maak en onder UV-lig besigtig. Aktiewe UV-bande is omkring. Die heel linkerkantse baan is die waterekstrak, die tweede baan die etanolekstrak en die derde baan is DCM:MeOH (1:1)-ekstrak. |
|
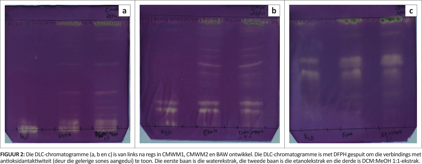
Kwalitatiewe antioksidanttoetse in difeniel-pikrielhidrasiel van ekstrakte op dunlaagchromatografie
‘n Kwalitatiewe antioksidanttoets is gedoen om die S. frutescens-ekstrakte vir die teenwoordigheid van antioksidantverbindings te sif. Om die verbindings met anti-oksidant aktiwiteit sigbaar te maak, is 0.2 % DFPH gespuit op chromatogramme wat met mobiele fases van CMWM1, CMWM2 en BAW ontwikkel is. Die teenwoordigheid van antioksidantverbindings is met geel strepe teen ‘n pers agtergrond aangedui, soos in Figuur 2 te sien is.
 |
FIGUUR 2: Die DLC-chromatogramme (a, b en c) is van links na regs in CMWM1, CMWM2 en BAW ontwikkel. Die DLC-chromatogramme is met DFPH gespuit om die verbindings met antioksidantaktiwiteit (deur die gelerige sones aangedui) te toon. Die eerste baan is die waterekstrak, die tweede baan is die etanolekstrak en die derde is DCM:MeOH 1:1-ekstrak. |
|
Profielbepaling met HPLC-MS
HPLC-MS-chromatogramme (Figuur 3 en Figuur 4) toon die profiele van H2O- en EtOH-ekstrakte. Hierdie chromatografiese profiele toon ook ionisering van al die verbindings wat in die water- en etanolekstrakte gevind is volgens hulle m/z-verhouding.
 |
FIGUUR 3: Chromatogramme wat ES− (a) en ES+ (b) profiele van die H2O-ekstrakte toon. |
|
 |
FIGUUR 4: Chromatogramme wat die ES− (a) en ES+ (b) profiele van EtOH-ekstrakte toon. |
|
Getabuleerde verbindings in Sutherlandia frutescens wat met HPLC-MS verkry is
Tabelle 3 en 4 hieronder toon die molekulêre massa, retensietye asook die staat van ionisering van al die verbindings volgens hulle m/z-verhouding in die water- en etanolekstrakte.
| TABLE 3: MS-ES-negatiewe verteenwoordigers van molekulêre massa en retensietye van verbindings in Sutherlandia frutescens. |
| TABLE 4: MS-ES positiewe verteenwoordigers van molekulêre massa en retensietye van verbindings wat in Sutherlandia frutescens gevind is. |
Die toets van kwalitatiewe antibakteriële aktiwiteit deur bio-outografie
Nie een van die bio-outografiese toetse wat op die ongesuiwerde ekstrakte (H2O, EtOH en DCM:MeOH 1:1) uitgevoer is, het enige antimikobakteriese aktiwiteit teen M. smegmatis getoon nie.
Die toets van kwantitatiewe antibakteriële aktiwiteit: Minimum inhibisiekonsentrasie
Die DCM:MeOH 1:1-ekstrak het die laagste minimum inhibisiekonsentrasie teen M. smegmatis gehad (Tabel 5). Die waterekstrak het na 24 uur se inkubasie die hoogste minimum inhibisiekonsentrasie getoon.
| TABLE 5: Gemiddelde minimum inhibisiekonsentrasie (mg/mL) en totale aktiwiteit (mL/g) van ongesuiwerde ekstrakte van Sutherlandia. frutescens na 24 uur teen 37 °C. |
Bespreking
Van die drie ekstraktante wat in hierdie studie gebruik is, was etanol die beste. Dit was in al drie ekstraksietye in staat om die grootste massa van die bogrondse plantmateriaal te onttrek. Gedistilleerde water het die minste plantmateriaal onttrek. ’n DLC is gebruik om die profiel van die ongesuiwerde ekstrakte en al die breuke van die verbindings wat in S. frutescens gevind is, te bepaal. Die chromatogramme wat in CMWM1 ontwikkel is, het meer verbindings geskei as die wat in CMWM2 en BAW ontwikkel is (Figuur 1). Die etanol- en DCM:MeOH 1:1-ekstrakte het ook meer verbindings gehad as die waterekstrak en dieselfde waarneming is vir die UV-aktiewe bande gemaak.
Elke ongesuiwerde ekstrak is teen M. smegmatis getoets om die MIK daarvan te bepaal. Tabel 5 toon aan dat ekstrak met DCM:MeOH 1:1 die grootste aktiwiteit met minimum inhibisiekonsentrasiewaardes gehad het. Dit het gewissel van so min soos 0.28 mg/mL tot 1.04 mg/mL en waterekstrak het die minste bevat. Katerere en Eloff (2005) het dieselfde waarneming gemaak waar die heksaan-, DCM- en etielasetaat-ekstrak beter antimikrobiese aktiwiteite gehad het (MIKs van 2.5 mg/mL, 1.25 mg/mL en 0.31 mg/mL onderskeidelik) teen Staphylococcus aureus, wat ’n Gram-positiewe mikro-organisme is wat nie met Mycobaterium spesies vergelyk kan word nie. Hulle water-, etanol- en asetoon-ekstrak het minimum inhibisiekonsentrasiewaardes van so hoog soos 10 mg/mL gehad. Benewens die feit dat tradisionele genesers dikwels water gebruik om afkooksels en adaptogeniese tonika te maak, is bevind dat die waterekstrak die minste aktief is. Hierdie bevindings kan toegeskryf word aan water se onvermoë om nie-polêre verbindings te onttrek (Masoko & Nxumalo 2013). Geen aktiwiteit is in bio-outografie gevind nie (resultaat nie aangedui). ’n Mens kan gevalle waar minimum inhibisiekonsentrasiewaardes antimikobakteriese aktiwiteit getoon het terwyl bio-outografie niks kon opspoor nie, verduidelik deur die moontlikheid dat die aktiewe verbindings tydens die verwydering van die DLC-elemente verdamp het soos vroeër vermeld, of deur die ontwrigting van die sinergisme tussen aktiewe bestanddele deur DLC (Masoko & Eloff 2005). Die feit dat nie een van die verbindings wat op bio-outogramme geïdentifiseer is enige antimikobakteriese aktiwiteit gehad het nie, toon dat dit nie prakties haalbaar is om antimikobakteriese verbindings uit hierdie plant te probeer isoleer nie.
Die antiosidantverbindings in difeniel-pikrielhidrasiel was as geel kolle teen ’n pers agtergrond sigbaar. Toe omkeerdefase DLC-chromatogramme met DFPH as opsporingsagent gebruik is, was die ontwikkelende kleur stabiel wat die identifisering van radikaal-suiwerende aktiwiteit na ’n paar minute moontlik gemaak het (Figuur 2). Hierdie metode kan ook vir die biotoetsgeleide isolering van ongeïdentifiseerde natuurlike antioksidante benut word en sou gebruik kon word om potensiële antioksidante uit ’n groep met struktureel diverse verbindings te kies. Die huidige toepassing bewys ook dat ’n standaard HPTLC-stelsel veelsydig en aanpasbaar genoeg is om ’n bykomende doel op die gebied van geneesmiddelontdekking te dien. Desnieteenstaande is geen antimikobakteriese aktiwiteit in ekstrakte uit S. frutescens bepaal nie. Die studie doen aan die hand dat daar geen verband tussen die antioksidant- en antibakteriële aktiwiteit van die ekstrakte uit S. frutescens is nie. In ’n studie deur Katerere en Eloff (2005) is ’n betekenisvolle hoeveelheid antioksidantaktiwiteit ook gevind vir die meer polêre oplosmiddels (bv. water) wat in die ekstraksieproses gebruik is. Dit mag dus wees dat bakteriële oksidatiewe status en/of die metabolisme van reaktiewe suurstofspesies by superoksied dismutasiefunksies betrokke kan wees (Langford, Williams & Kroll 1991).
HPLC-analise is ’n analitiese prosedure wat meer sensitief en selektief vir natuurlike produkte is - nie net om die profiel van chemiese bestanddele van plante te bepaal nie, maar ook om geïsoleerde stowwe te kwantifiseer (Marques et al. 2013). Die ongesuiwerde ekstrakte in water en etanol is ontleed deur HPLC-MS te gebruik om hulle chromatografiese profiele te bepaal. Die profiele van hierdie ekstrakte in sowel ESI- as ESI+-modusse (negatiewe en positiewe modusse vir elektrosproei-ionisering) word in Figure 3 en 4 aangetoon. Die chromatografiese profiel van die etanolekstrak in Figuur 4 toon ’n groter hoeveelheid verbindings met ’n negatiewe ioniseringsmodus as die met ’n positiewe ES. Dit is presies die teenoorgestelde van die waterekstrak (Figuur 3) wat meer verbindings in die ES+-modus as in die ES−-modus bevat. Fut et al. (2008; 2010) het van die belangrikste verbindings wat in S. frutescens voorkom geïsoleer, naamlik sikloartaan glikosied en flavonol glikosied. In ’n studie deur Fu et al. (2008) is vier nuwe sikloartaan glikosiede geïsoleer en hulle word sutherlandiosied A, B, C en D genoem. Sutherlandiosied B is die belangrikste glikosied van hierdie plant en ook vir die meeste van die plant se bioaktiwiteite verantwoordelik. Sutherlandiosiede A en B het beide die chemiese formule C36H60O10 en ’n pseudo-ioonpiek is by m/z 675.4042 [M + Na]+ waargeneem. Die enigste verskil is dat ’n β-glukopiranosiel-moïeteit in sutherlandiosied B waargeneem is. Sutherlandiosied C het ’n chemiese formule (C36H58O10) en ’n molekulêre massa van 650 u, en D is dieselfde as C behalwe dat dit ’n molekulêre massa van (C36H58O9) en een minder suurstofmolekule het. Die chromatogramme in hierdie studie toon dat die glikosiedryke area tussen net meer as 14 min en net minder as 16 min voorkom en hierdie streek is ook in die negatiewe modus van elektrosproei-ionisering sigbaar. Hierdie sutherlandiosiede is triterpenoiede en daar is dus meer daarvan in die etanolekstrak as in die waterekstrak. Dit kan waarskynlik daaraan toegeskryf word dat triterpenoiede beter in alkohol as in water oplos. Fu et al. (2010) het flavonol glikosiede geïsoleer en hulle is sutherlandiene A, B, C en D genoem. Hulle pseudomolekulêre pieke het tussen m/z 767 en 747 gewissel en hulle is (soos in Figuur 3 te sien) sigbaarder en in hoër konsentrasies teenwoordig in die waterekstrak. Dit kan waarskynlik daaraan toegeskryf word dat flavonoïde meer polêr is en dus in staat is om die beste in water op te los. Benewens die verbindings wat alreeds vermeld is, het die chromatografiese profiele ook aangedui dat daar baie verbindings in S. frutescens is wat nog nie beskryf of geïsoleer is nie.
Gevolgtrekking
Ten slotte het hierdie studie en verskeie studies wat hierbo vermeld is, getoon dat S. frutescens wel aktiwiteit teen ’n verskeidenheid mikro-organismes het en hierdie navorsing ondersteun die gebruik van hierdie plant deur tradisionele genesers vir verskeie kwale, insluitende die behandeling en ondersteunende behandeling vir tuberkulose. Verdere studie om die ekstrakte teen M. tuberculosis se sjikimiaat kinase-ensiem te toets en die antimikobakteriese verbindings te isoleer, sal nog gedoen word.
Erkenning
Ons wil graag die Wetenskaplike en Nywerheidsnavorsingsraad sowel as die Universiteit van Limpopo vir finansiële ondersteuning bedank.
Kompeterende belange
Die outeurs verklaar dat hulle geen kompeterende belange het nie.
Outeursbydraes
I.H.M. het die eksperimente gedoen en die eerste konsepartikel geskryf. R.H. het die eksperimente ontwerp. P.M het die protokol ontwerp en die analise van die eksperimente bestuur. Al die outeurs het die finale manuskrip gelees, teksversorg en goedgekeur.
References
Begue, W.J. & Kline, R.M., 1972, ‘The use of tetrazolium salts in bioautographic procedure’, Journal of Chromatography 88, 182–184. https://doi.org/10.1016/S0021-9673(00)92965-0
Chaturvedi, V., Dwivedi, N., Tripathi, R.P. & Sinha, S., 2007, ‘Evaluation of Mycobacterium smegmatis as a possible surrogate screen for selecting molecules active against multi-drug resistant Mycobacterium tuberculosis’, Journal of General and Applied Microbiology 53, 333–337. https://doi.org/10.2323/jgam.53.333; PMid: 18187888
Deby, C. & Margotteaux, G., 1970, ‘Relationship between essential fatty acids and tissue antioxidant levels in mice’, Comptes Rendus des Seances de la Societe de Biologie et de ses Filiales 165, 2675–2681.
Eloff, J.N., 1998, ‘A sensitive and quick microplate method to determine the minimal inhibitory concentration of plant extracts for bacteria’, Planta Medica 64(8), 711–713. https://doi.org/10.1055/s-2006-957563; PMid: 9933989.
Eloff, J.N., 2004, ‘Quantifying the bioactivity of plant extracts during screening and bioassay guided fractionation’, Phytomedicine 11, 370–371. https://doi.org/10.1078/0944711041495218; PMid: 15185853.
Fu, X., Li, X., Smillie, T., Carvalho, P., Mabusela, W., Syce, J. et al., 2008, ‘Cycloartane glycosides from Sutherlandia frutescens’, Journal of Natural Product 71(10), 1749–1753. https://doi.org/10.1021/np800328r; PMid: 18808182; PMCid: PMC3457064.
Fu, X., Li, X., Wang, Y., Avula, B., Smillie, T.J., Mabusela, W. et al., 2010, ‘Flavonol glycosides from the South African medicinal plant Sutherlandia frutescens’, Planta Medica 76, 178–181. https://doi.org/10.1055/s-0029-1186030; PMid: 19670162.
Haraguchi, H., 2001, Antioxidant plant constituents in bioactive compounds from natural sources – isolation, characterisation and biological properties, Taylor and Francis, London.
Katerere, D.R. & Eloff, J.N., 2005, ‘Antibacterial and antioxidant activity of Sutherlandia frutescens (Fabaceae), a reputed anti-HIV/AIDS phytomedicine’, Phytotherapy Research 19, 779–781. https://doi.org/10.1002/ptr.1719; PMid: 16220570.
Langford, P., Williams, A.E. & Kroll, J.S., 1991, ‘Superoxide dismutases of pathogenic and non-pathogenic Streptococcus suis type 2 isolates’, FEMS Microbiology Letters 77(2–3), 347–350. https://doi.org/10.1111/j.1574-6968.1991.tb04374.x
Marques, G.S., Leao, W.F., Lyra, M.A.M., Peixoto, M.S., Monteiro, R.P.M., Rolim, L.A. et al., 2013, ‘Comparative evaluation of UV/VIS and HPLC analytical methodologies applied for quantification of flavonoids from leaves of Bauhinia forfi cata’, Brazilian Journal of Pharmacology 23(1), 51–57. https://doi.org/10.1590/S0102-695X2012005000143
Masoko, P. & Eloff, J.N., 2005, ‘The diversity of antifungal compounds of six South African Terminalia species (Combretaceae) determined by bioautography’, African Journal of Biotechnology 4(12), 1425–1431.
Masoko, P. & Nxumalo, K.M., 2013, ‘Validation of antimycobacterial plants used by traditional healers in three districts of the Limpopo province (South Africa)’, Evidence-Based Complementary and Alternative Medicine 2013, Article ID 586247, 7 pages. http://dx.doi.org/10.1155/2013/586247
Mills, E., Coope, C., Seely, D. & Kanfer, I., 2005, ‘African herbal medicines in the treatment of HIV: Hypoxis and Sutherlandia. An overview of evidence and pharmacology’, Nutrition Journal 4, 19. https://doi.org/10.1186/1475-2891-4-19; PMid: 15927053; PMCid: PMC1156943.
Ojewole, J.A.O., 2008, ‘Anticonvulsant property of Sutherlandia frutescens (Fabaceae) shoots aqueous extract’, Brain Research Bulletin 75, 126–132. https://doi.org/10.1016/j.brainresbull.2007.08.002; PMid: 18158106.
Prevoo, D., Swart, P. & Swart, A.C., 2008, ‘The influence of Sutherlandia frutescens on adrenal steriodogenic cytochrome P450 enzymes’, Journal of Ethnopharmacology 118, 118–126. https://doi.org/10.1016/j.jep.2008.03.019; PMid: 18485640.
Reyrat, J.M. & Kahn, D., 2001, ‘Mycobacterium smegmatis: An absurd model for tuberculosis’, Trends Microbiology 9(10), 472–474. https://doi.org/10.1016/S0966-842X(01)02168-0.
SA Healthinfo, 2009, Traditional medicines, Sutherlandia frutescens herba, viewed 10 May 2012, from http://www.sahealthinfo.org/traditionalmeds/monographs/sutherlandia.htm
Seier, J.V., Mdhluli, M., Dhansay, M.A., Loza, J. & Laubscher, R.A., 2002, Toxicity study of Sutherlandia leaf powder (Sutherlandia frutescens sub-species microphylla) consumption, Medical Research Council, Tygerberg, South Africa.
Van Wyk, B.E., 1997, Medicinal plants of South Africa, Briza Publishers, Pretoria, SA, pp. 246–247.
World Health Organization (WHO), 2007a, Report 2007: Global tuberculosis control. Surveillance, planning, financing, WHO, Geneva.
World Health Organization (WHO), 2007b, The global MDR-TB and XDR-TB response plan, 2007–2008, WHO, Geneva.
Footnotes
1. Hoewel die aparaat se naam vertaalbaar is, word die Engelse afkorting wat algemeen in laboratoria gebruik word, HPLC, in die teks behou.
|