Abstract
Sutherlandia frutescens (L) R. Br. contains several essential, bioactive compounds with clinically proven pharmacological activities. Sutherlandia is prescribed for people with tuberculosis but it is still not known what compounds in this plant act against Mycobacterium tuberculosis and its mode of action. This study is aimed at determining if S. frutescens extracts contain antimycobacterial compounds. Aerial parts of S. frutescens were dried, ground and extracted with ethanol, dichloromethane: methanol 1:1 (v/v) and water. The chemical profiling was done using high-performance liquid chromatography-mass spectroscopy (HPLC-MS) and thin layer chromatography (TLC). TLC plates were developed in butanol:acetic acid:water (BAW) to the ratio of 21:6:3; chloroform:methanol:water:formic acid (CMWF1) [60:15:2:1] and (CMWF2) [21:9:1:0.3]. Qualitative antioxidant activity was done, using 2.2-diphenylpacryl-1-hydrazyl (DPPH). Antimycobacterial activity of the plant extracts was evaluated, using micro-dilution and bioautographic methods against Mycobacterium smegmatis. Low antimycobacterial activity against M. smegmatis was observed on the bioautograms. The ethanol extracts contained more compounds compared to water extracts on HPLC-MS chromatographic profiles. The average Minimum Inhibitory Concentration (MIC) values for all the extracts were 0.61 mg/mL units and the DCM:MeOH (1:1) extract had the lowest MIC value of 0.28 mg/mL. The results showed that the plant could be further explored for possible antimycobacterial agents. Low activity was observed, possibly due to low replication of bacilli and non-replicating organisms. The study provides preliminary scientific validation of the traditional medicinal use of this plant. Further studies are required to identify the bioactive compounds in the DCM:MeOH 1:1 extract which showed significant antimycobacterial activities.
Research correlation: This article is the original version, of which an Afrikaans translation was made available to provide access to a larger readership, available here: https://doi.org/10.4102/satnt.v36i1.1494
Opsomming
Die toets van ekstrakte uit Sutherlandia frutescens (Fabaceae) op Mycobaterium smegmatis in die behandeling van tuberkulose. Sutherlandia frutescens (L) R. Br. bevat verskeie essensiële bioaktiewe verbindings met farmakologiese aktiwiteite waarvoor daar kliniese bewyse bestaan. Sutherlandia word vir mense met tuberkulose voorgeskryf, maar niemand weet nog watter verbinding(s) in hierdie plant Mycobacterium tuberculosis en die werking daarvan teenwerk nie. Hierdie studie het ten doel om te bepaal of S. frutescens antimikobateriële verbindings bevat. Bogrondse dele van S. frutescens is gedroog, gemaal en met etanol:metanol [1:1] (v/v) en water onttrek. Die chemiese profiel is bepaal deur hoëverrigting vloeistofchromatografie-massaspektrometrie en dunlaagchromatografie te gebruik. Die plate vir dunlaagchromatografie is in butanol:asynsuur:water (BAW) [21:6:3], chloroform:metanol:water:mieresuur (CMWM1) [60:15:2:1] en CMWM2 [21:9:1:0.3] ontwikkel. ‘n Kwalitatiewe anti-oksidant-aktiwiteit is gedoen deur 2.2-difeniel-1-pikrielhidrasiel (DFPH) te gebruik. Die antimikobakteriële aktiwiteit van die plantekstrakte is geëvalueer deur mikro-verdunning en bio-outografiese metodes teen Mycobacterium smeagmatis te gebruik. Ons het lae antimikobateriële aktiwiteit teen M. smegmatis in die bio-outogramme waargeneem. Die profiele van die hoëverrigting vloeistofchromatograpfie-massaspektrometrie het meer verbindings in die etanol-ekstrakte as in die waterekstrakte bevat. Die gemiddelde waardes vir minimum inhibeerderkonsentrasie vir al die ekstrakte was 0.61 mg/mL en die ekstrak vir DCM:MeOH (1:1) het die laagste minimum inhibeerderkonsentrasie-waarde, naamlik 0.28 mg/mL, gehad. Die resultate het getoon dat die plant verder vir moontlike antimikobakteriële agente ondersoek kan word. Lae aktiwiteit is waargeneem, waarskynlik as gevolg van stadig vermeerderende bacilli en nie-vermeerderende organismes. Die studie bied voorlopige wetenskaplike ondersteuning vir die tradisionele medisinale gebruik van hierdie plant.
Navorsing korrelasie: Hierdie artikel is die oorspronklike weergawe, waarvan ‘n Afrikaanse vertaling beskikbaar gestel tot ’n breër lesersgroep, beskikbaar hier: https://doi.org/10.4102/satnt.v36i1.1494
Introduction
Sutherlandia frutescens is a well-known and much used, commercially cultivated indigenous medicinal plant in southern Africa. S. frutescens contains several essential bioactive compounds with clinically proven pharmacological activities (Haraguchi 2001:1; Ojewole 2008:126; Prevoo, Swart & Swart 2008:118). This makes the plant attractive as a medicine for various ailments and diseases. Sutherlandia is recommended by the South African Department of Health as a supporting treatment for people living with Acquired Immune Deficiency Syndrome (AIDS) (Mills et al. 2005:1; SA Healthinfo 2009:1; Seier et al. 2002:1). It is also prescribed for treatment of cancer, tuberculosis (TB), diabetes, anxiety and clinical depression (Mills et al. 2005:1; SA Healthinfo 2009:1; Van Wyk 1997).
TB is a highly infectious disease caused by Mycobacterium tuberculosis and it kills millions of people annually. It is also one of the common co-infections in people living with Human Immunodeficiency Virus (HIV) and/or AIDS, thus worsening the HIV and/or AIDS pandemic. The drugs that are currently used to treat TB have to be taken over a long period, and because of this people prematurely stop treatment leading to the development of resistance. Also, there is a growing increase in drug-resistant strains which are considered a significant health threat (WHO 2007a, 2007b). World-wide efforts are being made to discover quicker acting drugs which are also effective against the drug-resistant strains. While Sutherlandia is prescribed for people with TB, it is still not known if the extracts have antimycobacterial activity and what compounds in this plant might act against M. tuberculosis and its mode of action. This study was aimed at investigating the activity of Sutherlandia frutescens extracts against Mycobacterium smegmatis. M. tuberculosis grows extremely slowly and represents a biological hazard in the laboratory. M. smegmatis contains a similar cell-wall structure to M. tuberculosis and is commonly used in laboratory experiments for research analysis due to the fact that it is a ‘fast grower’ and non-pathogenic (Reyrat & Kahn 2001). Furthermore the highly infectious nature of M. tuberculosis restricts its use for large-scale screening of probable drug candidates. M. smegmatis has been found to display a drug-sensitivity profile similar to M. tuberculosis (Chaturvedi et al. 2007). The plant extracts were primarily screened against this rapidly growing and non-pathogenic mycobacterial strain with a view to identifying active compounds which could later be tested against M. tuberculosis’s shikimate kinase. This study set out to provide preliminary data on in vitro anti-mycobacterial activity as a first step to further investigations.
Materials and methods
Plant collection
One hundred and fifty grams of fresh aerial parts (the leaves and stems) of Sutherlandia were collected at a community-based farm in Petrusburg in the Free State, South Africa (29° 6.774′ S; 25° 24.305′ E; 1249 m above sea level). A twig containing a flower was sent to the South African National Biodiversity Institute (SANBI) for identification. (SANBI voucher specimen number: 428679). The plant material was finely ground and stored at room temperature until the tests were done.
Extraction procedure
Plant material extraction based on the traditional method
Dried ground aerial parts (leaves and stems) of S. frutescens (50 g) were boiled in 2 L of distilled water using a hot plate and a steel extraction vessel covered with aluminium foil, and it was stirred occasionally. The suspension was removed from the hot plate, cooled at room temperature, filtered through Whatman no.1 filter paper and collected in a pre-labelled glass beaker. The aqueous extraction was freeze-dried and a powder was subsequently obtained. The extract was stored in an airtight container in the cold room at 4 °C until further testing.
Plant material extractions using organic solvents
One litre of 96% ethanol was added to 50 g plant material stirred and left overnight. The suspension was filtered the following day, using Whatman no.1 filter paper and evaporated to give an ethanol extract (excess ethanol from the Whatman number 1 extract was dried using a fume-hood overnight). Another 50 g plant material was used to prepare 1:1 dichloromethane: methanol (DCM:MeOH; 1.4 L) extract. The same procedure used to prepare the ethanol extract was used to prepare the DCM:MeOH; 1:1 extract.
Phytochemical analysis
Chemical profiling with thin layer chromatography
The compounds present in the plant extracts were analysed by thin layer chromatography (TLC) using aluminium-backed TLC plates (Merck, silica gel 60 F254). The TLC plates were developed under saturated conditions with each of the three mobile phases differing in polarity viz. (1) chloroform:methanol:water:formic acid (60:15:2:1) [CMWF1], (2) chloroform:methanol:water:formic acid (21:9:1:0.3) [CMWF2] and (3) butanol:acetic acid:water (21:6:3) [BAW]. The plates were viewed under UV light (254 and 365 nm) for compounds which are fluorescent and later sprayed with vanillin (Sigma) sulphuric acid reagent and heated to visualise colours of the different compounds in each extract.
Qualitative 2,2-diphenyl-pacrylhydrazyl assay on thin layer chromatography
The plates were prepared as described above. The plates were dried in a fume hood. The chromatograms were sprayed with 0.2% 2,2-diphenyl-1-pacrylhydrazyl (DPPH) in methanol in order to visualise any potential antioxidant compounds within the separated plant extracts. The bands or compounds showing the antioxidant properties were compared to the bands showing the antimycobacterial activity to indicate whether the observed antimicrobial properties are a result of the antioxidant property of the extracts. The presence of antioxidant compounds was detected by yellow spots against a purple background on TLC plates sprayed with 0.2% DPPH in methanol (Deby & Margotteaux 1970).
Chemical profiling with high performance liquid chromatography-mass spectroscopy
The water and ethanol extracts were used for this experiment and 25 mg of each extract was weighed out into a vial and 2 mL of high performance liquid chromatography (HPLC) grade methanol was added. The mixture was put in an ultrasonic bath for 10 min and filtered through Acrodisc GHP syringe filters, before being placed into 2 mL HPLC vials. The various samples were analysed using a WATERS Hexyl-Phenyl HPLC separation module. Atlantis T3 columns (150 mm × 2.1 mm, 5 µ particle size) connected in series were used for the separation. UV-VIS detection was done on a WATERS PDA scanning from 200 m to 500 nm. The mobile phase used was 0.1% (v/v) formic acid in water (A) and methanol (B). The ratio of mobile phase prepared is shown in Table 1. Mass spectrometry detection was performed using a WATERS Synapt G1 mass spectrometer, scanning from 100 Dalton to 1000 Dalton, using electrospray ionisation mode (ESI) with polarity (positive and negative) switching with a scan time of 0.20 s. The operating conditions in the ESI source were as follows: source temperature, 120 °C; Optics, V-mode optics; desolvation temperature, 450 °C; capillary voltage, 2500 V; cone voltage, 30 V; extraction cone voltage, 4 V; desolvation, 800 L/hr; cone gas, 50 L/hr; gas used, Nitrogen; lock mass calibrant, Leucine encephalin 50 pg/mL solution in 50% aqueous acetonitrile (flow adjusted to give 100–200 counts per second signal). The injection volume was 3 µl and the time run 30 min.
| TABLE 1: Waters solvent manager conditions. |
Preliminary antimycobacterial screening with Mycobacterium smegmatis
Organism used
Mycobacterium smegmatis was obtained from the Department of Biosciences CSIR. The M. smegmatis was maintained on Middlebrook 7H9 broth, containing 0.05% Tween 80 and 10% (v/v); the culture was checked by Ziehl-Neelsen stain before being used in the antimicrobial assays. The culture was transferred from the broth to an agar plate and used within 2 weeks; the culture was then subcultured on slants and stored for 2–3 months.
Qualitative antibacterial activity assay by bioautography
Bioautographic studies were carried out on TLC plates, according to Begue and Kline (1972), to detect the main bioactive compounds within the crude extracts. TLC plates were loaded with 20 µL of each plant extract and developed in BAW, CMWF 1 and CMWF 2. The plates were placed under a stream of air for 4 days to allow the solvents to evaporate. The plates were sprayed with M. smegmatis and then incubated at 37 ºC for 24 hrs. The plates were then sprayed with INT and incubated for 30 min. Inhibition zones are observed as white bands on a pink background.
Quantitative antibacterial activity assay by minimum inhibitory concentration
Quantitative antibacterial activity assay was performed in 96-well microtiter plates as described by Eloff (1998), to determine the MIC of the plant extracts, extracted with H2O, EtOH and DCM:MeOH 1:1. One hundred microliters (100 µL) of sterilised distilled water was dispensed into 11 out the 12 lanes of the 96-well microtiter plates, and 100 µL of dimethyl sulfoxide (DMSO) was dispensed into the 12th lane as a negative control. One hundred microliters rifampicin which was used as the positive control were added to the first well on the 11th lane and a serial dilution was made to the end of the lane, expelling the last contents in the pipette making the volume in each well constant. All plant extracts were redissolved in DMSO to a concentration of 10 mg/mL; 100 µL of each extract was then added to the first wells on lanes 1–9 and serially diluted, while the 10th lane was left with only sterile distilled water and was hence considered a negative control as well. One hundred microliters of a standardised Mycobacterium smegmatis broth culture was added in all 96 wells and the plates were incubated at 37 °C for 24 h. After the incubation period, 40 µL of 0.2 mg/mL of p-iodonitro-tetrazolium violet (INT) were added to all 96 the wells to determine the presence of bacterial growth in the plates, and plates were incubated for a further 45 min at 37 °C to allow colour to develop. The presence of actively growing bacteria is indicated by INT being reduced from being colourless to a pink-red colour. MIC was recorded as the lowest concentration of the plant extract that inhibited the growth of Mycobacterium smegmatis after 24 h and each extract was tested in triplicate. The total activity of the extracts in mL/g was calculated by dividing the MIC value with the quantity extracted from 1 g of plant material. The resultant value indicates the volume to which the extract may be diluted and still inhibit the growth of a microorganism (Eloff 2004).
Results
Mass of plant extracts
The amount of sample extracted was measured in (g) as shown in Table 2. Plant materials extracted with 96% ethanol yielded more extract than the plant material extracted with other solvents.
| TABLE 2: Different quantities of crude extracts of Sutherlandia frutescens obtained via extraction with different solvents. |
TLC profiling for phytochemical analysis of plant extracts
TLC fingerprinting was used to analyse phytochemicals found in plant materials extracted, using the three solvents, viz. water, ethanol and DCM:MeOH 1:1 v/v. The extracts were redissolved with chloroform:methanol 1:1 v/v to a concentration of 10 mg/mL. TLC plates were loaded with 10 µL of the prepared extract solutions and separation of different compounds were observed after the plates were developed in CMWF1, CMWF2 and BAW and sprayed with 0.1% vanillin sulphuric acid, shown in Figure 1.
 |
FIGURE 1: TLC plates (a, b and c) from left to right were developed in CMWF1, CMWF2 and BAW. The TLC plates were sprayed with 0.1% vanillin sulphuric acid, to show separation of compounds, and viewed under a UV light. UV active bands were circled. The first lane from the left is the water extract, second lane is ethanol extract and the third is DCM:MeOH (1:1) extract. |
|
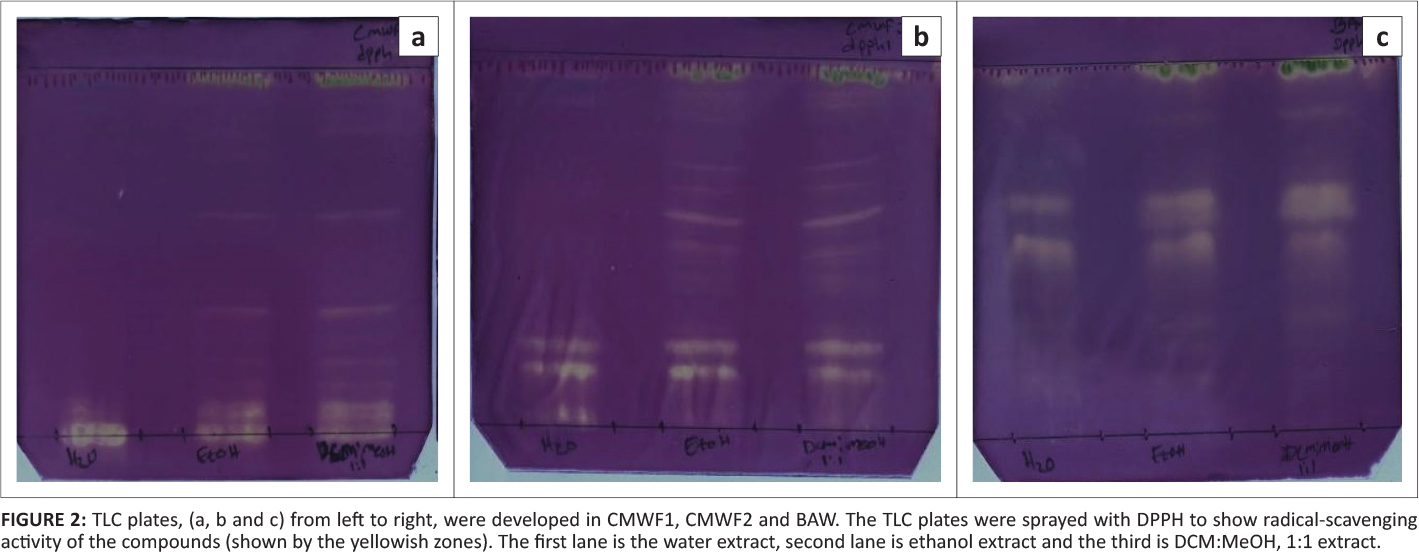
Qualitative antioxidant diphenyl-picrylhydrazyl assay on TLC on extracts
A qualitative antioxidant assay was done to screen the S. frutescens extracts for the presence of antioxidant compounds. To visualise compounds with radical-scavenging activities, 0.2% DPPH was sprayed on plates developed with CMWF1, CMWF2 and BAW mobile phases. The presence of antioxidant compounds were indicated by yellow bands against a purple background as seen on Figure 2.
 |
FIGURE 2: TLC plates, (a, b and c) from left to right, were developed in CMWF1, CMWF2 and BAW. The TLC plates were sprayed with DPPH to show radical-scavenging activity of the compounds (shown by the yellowish zones). The first lane is the water extract, second lane is ethanol extract and the third is DCM:MeOH, 1:1 extract. |
|
High performance liquid chromatography-mass spectrometry profiling
HPLC-MS chromatograms (Figures 3 and 4), showing profiles of H2O and EtOH extracts. These chromatographic profiles also show ionisation of all the compounds found in the water and ethanol extracts according to their m/z ratio.
 |
FIGURE 3: Chromatogram showing ES- (a) and ES+ (b) profiles of H2O extracts. |
|
 |
FIGURE 4: Chromatogram showing an ES- (a) and ES+ (b) profiles of EtOH extracts. |
|
Tabulated compounds found in Sutherlandia frutescens obtained with high performance liquid chromatography-mass spectrometry
Tables 3 and 4 below show molecular weights, retention times, as well as the state of ionisation of all the compounds according to their m/z ratio found in the water and ethanol extracts.
| TABLE 3: MS-ES negative representatives of molecular weight and retention times of compounds found in Sutherlandia frutescens. |
| TABLE 4: MS-ES positive representatives of molecular weight and retention times of compounds found in Sutherlandia frutescens. |
Qualitative antibacterial activity assay by bioautography
None of the bioautographic assays, performed on the crude extracts (H2O, EtOH and DCM: MeOH 1:1), showed any antimycobacterial activity against M. smegmatis.
Quantitative antibacterial activity assay: Minimum inhibitory concentration
The DCM:MeOH 1:1 extract had the lowest MIC value against M. smegmatis (Table 5). The water extract showed the highest MIC value after 24 h of incubation.
| TABLE 5: Average Minimum Inhibitory Concentration (mg/mL) and total activity (mL/g) of crude extracts of Sutherlandia frutescens after 24 h at 37°C. |
Discussion
Of the three extractants used in this study, ethanol was the best extractant; it was able to extract the most mass from the ground plant material throughout the three harvest periods. Distilled water extracted the least amount of plant material. A TLC was used to profile the crude extracts and the fractions for all the compounds found in S. frutescens. The plates developed in CMWF1 separated more compounds than those developed in CMWF2 and BAW (Figure 1). Also the ethanol and the DCM:MeOH 1:1 extracts had more compounds compared to the water extract and the same observation was made of the UV active bands.
Each crude extract was assayed against M. smegmatis to determine its MIC values. Table 5 shows that DCM:MeOH 1:1 extracts had the greatest activity with MIC values ranging from as low as 0.28 mg/mL to 1.04 mg/mL and water extracts had the least. The same observation was made by Katerere and Eloff (2005) where the hexane, DCM and ethylacetate extracts produced better antimicrobial activities (MIC values of 2.50 mg/mL, 1.25 mg/mL and 0.31 mg/mL, respectively) against Staphylococcus aureus which is a Gram positive microorganism that cannot be compared to Mycobacterium spp.; their water, ethanol and acetone extracts had MIC values as high as 10 mg/mL. Despite the fact that traditional healers frequently use water to make decoctions and adaptogenic tonics, the water extract was found to be the least active and these findings could be attributed to the inability of water to extract non-polar compounds (Masoko & Nxumalo 2013). There was no activity found in bioautography (result not shown). Cases where MIC values indicated antimycobacterial activity, while bioautography could not detect any, could be explained by the possibility of evaporation of active compounds during removal of the TLC eluents as was mentioned earlier or by the disruption of synergism between active constituents caused by TLC (Masoko & Eloff 2005). The fact that no compound isolated on bioautograms had antimycobacterial activity shows that it is not a feasible project to try to isolate antimycobacterial compounds from this plant.
Diphenyl-pacrylhydrazyl radical-scavenging compounds appeared as yellow spots against a purple background. When reverse-phase TLC plates were used with DPPH as detecting agent, the developing colour was stable, enabling the identification of radical-scavenging activity after a few minutes (Figure 2). This method can also be utilised for the bioassay-guided isolation of unidentified natural antioxidants and may be used for selection of potential antioxidants from a group of structurally diverse compounds. The current application also demonstrates the versatility and adaptability of a standard HPTLC system to serve an additional purpose in the drug discovery arena. Nonetheless, no antimycobacterial activity was established from extracts of S. frutescens. The study suggests that there is no correlation between the antioxidant activity and antibacterial activity of the extracts from S. frutescens. In a study by Katerere and Eloff (2005), a significant amount of antioxidant activity was also recorded for the more polar solvent (e.g. water) used in their extraction process, thereby suggesting that bacterial oxidative status or metabolism of reactive oxygen species may be involved in superoxide dismutase functions (Langford, Williams & Kroll 1991).
HPLC analysis is an analytical procedure that is more sensitive and selective in the area of natural products, not only to profile chemical constituents of plants but also to quantify isolated substances (Marques et al. 2013). The water and ethanol crude extracts were analysed, using HPLC-MS to obtain their chromatographic profiles. The resulting profiles of these extracts in both ESI- and ESI+ modes (electrospray ionisation negative and positive modes) are shown in Figures 3 and 4. The chromatographic profile of the ethanol extract on Figure 4 shows a high amount of compounds with a negative mode of ionisation than those having a positive ES. This is an exact opposite compared to the water extract (Figure 3) which contains more compounds in its ES+ mode than its ES-. Fu et al. (2008, 2010) have isolated some of the most vital compounds found in S. frutescens which are cycloartane glycosides and flavonol glycosides. In a study by Fu et al. (2008), four new isolated cycloartane glycosides, named sutherlandiosides A,B,C and D, were isolated, with sutherlandioside B being the major glycoside of this plant and also responsible for most of the plant’s bioactivities. Sutherlandioside A and B both had a chemical formula of (C36H60O10) and provided a pseudo ion peak at m/z 675.4042 [M + Na]+; the only difference was that there was a β-glucopyranosyl element moiety in sutherlandioside B. Sutherlandioside C had a chemical formula of (C36H58O10) and a molecular weight of 650 u, and D was the same as C except that it had a chemical formula of (C36H58O9) and that it lacked one oxygen molecule. From the chromatographic files in this study the glycoside-rich area is found from just above 14 min to just below 16 min, and also this region is seen in the negative mode electrospray ionisation. These sutherlandiosides are triterpenoids, hence could be seen elevated in the ethanol extract rather than the water extract; this is probably due to the fact that triterpenoids dissolve better in alcohol than water. Fu et al. (2010) also isolated flavonol glycosides and they were named sutherlandins A, B, C and D; their pseudo molecular peaks ranged from m/z 767 to 747 and they are more evident and in abundance in Figure 3 on the water extract. This is probably due to the fact that flavonoids are more polar and hence were able to dissolve best in water. In addition to the compounds already mentioned, the chromatographic profiles also show a lot of compounds present in S. frutescens that have not yet been characterised nor isolated.
Conclusion
In conclusion, this study and several studies mentioned above have shown that S. frutescens has activity against a range of microorganisms and this research supports the usage of this plant by traditional healers for various ailments, including the treatment and supporting treatment of TB. Further studies to test the extracts against M. tuberculosis’ shikimate kinase enzyme and to isolate the antimycobacterial compounds will be conducted.
Acknowledgements
We would like to thank the CSIR for financial support, as well as the University of Limpopo.
Competing interests
Authors have declared that no competing interests exist.
Authors’ contributions
I.H.M. performed the experiments and wrote the first draft. R.H. designed the experiments. P.M. designed the protocol and managed the analyses of the experiments. All three authors read, edited and approved the final manuscript.
References
Begue, W.J. & Kline, R.M., 1972, ‘The use of tetrazolium salts in bioautographic procedure’, Journal of Chromatography 88, 182–184. https://doi.org/10.1016/S0021-9673(00)92965-0
Chaturvedi, V., Dwivedi, N., Tripathi, R.P. & Sinha, S., 2007, ‘Evaluation of Mycobacterium smegmatis as a possible surrogate screen for selecting molecules active against multi-drug resistant Mycobacterium tuberculosis’, Journal of General and Applied Microbiology 53, 333–337. https://doi.org/10.2323/jgam.53.333; PMid:18187888
Deby, C. & Margotteaux, G., 1970, ‘Relationship between essential fatty acids and tissue antioxidant levels in mice’, Comptes Rendus des Seances de la Societe de Biologie et de ses Filiales 165, 2675–2681.
Eloff, J.N., 1998, ‘A sensitive and quick microplate method to determine the minimal inhibitory concentration of plant extracts for bacteria’, Planta Medica 64(8), 711–713. https://doi.org/10.1055/s-2006-957563; PMid:9933989
Eloff, J.N., 2004, ‘Quantifying the bioactivity of plant extracts during screening and bioassay guided fractionation’, Phytomedicine 11, 370–371. https://doi.org/10.1078/0944711041495218; PMid:15185853
Fu, X., Li, X., Smillie, T., Carvalho, P., Mabusela, W., Syce, J. et al., 2008, ‘Cycloartane glycosides from Sutherlandia frutescens’, Journal of Natural Product 71(10), 1749–1753. https://doi.org/10.1021/np800328r; PMid:18808182; PMCid:PMC3457064
Fu, X., Li, X., Wang, Y., Avula, B., Smillie, T.J., Mabusela, W. et al., 2010, ‘Flavonol glycosides from the South African medicinal plant Sutherlandia frutescens’, Planta Medica 76, 178–181. https://doi.org/10.1055/s-0029-1186030; PMid:19670162
Haraguchi, H., 2001, Antioxidant plant constituents in bioactive compounds from natural sources – isolation, characterisation and biological properties, Taylor and Francis, London.
Katerere, D.R. & Eloff, J.N., 2005, ‘Antibacterial and antioxidant activity of Sutherlandia frutescens (Fabaceae), a reputed anti-HIV/AIDS phytomedicine’, Phytotherapy Research 19, 779–781. https://doi.org/10.1002/ptr.1719; PMid:16220570
Langford, P., Williams, A.E. & Kroll, J.S., 1991, ‘Superoxide dismutases of pathogenic and non-pathogenic Streptococcus suis type 2 isolates’, FEMS Microbiology Letters 77(2–3), 347–350. https://doi.org/10.1111/j.1574-6968.1991.tb04374.x
Marques, G.S., Leao, W.F., Lyra, M.A.M., Peixoto, M.S., Monteiro, R.P.M., Rolim, L.A. et al., 2013, ‘Comparative evaluation of UV/VIS and HPLC analytical methodologies applied for quantification of flavonoids from leaves of Bauhinia forfi cata’, Brazilian Journal of Pharmacology 23(1), 51–57. https://doi.org/10.1590/S0102-695X2012005000143
Masoko, P. & Eloff, J.N., 2005, ‘The diversity of antifungal compounds of six South African Terminalia species (Combretaceae) determined by bioautography’, African Journal of Biotechnology 4(12), 1425–1431.
Masoko, P. & Nxumalo, K.M., 2013, ‘Validation of antimycobacterial plants used by traditional healers in three districts of the Limpopo province (South Africa)’, Evidence-Based Complementary and Alternative Medicine 2013, Article ID 586247, 7 pages. http://dx.doi.org/10.1155/2013/586247
Mills, E., Coope, C., Seely, D. & Kanfer, I., 2005, ‘African herbal medicines in the treatment of HIV: Hypoxis and Sutherlandia. An overview of evidence and pharmacology’, Nutrition Journal 4, 19. https://doi.org/10.1186/1475-2891-4-19; PMid:15927053; PMCid:PMC1156943
Ojewole, J.A.O., 2008, ‘Anticonvulsant property of Sutherlandia frutescens (Fabaceae) shoots aqueous extract’, Brain Research Bulletin 75, 126–132. https://doi.org/10.1016/j.brainresbull.2007.08.002; PMid:18158106
Prevoo, D., Swart, P. & Swart, A.C., 2008, ‘The influence of Sutherlandia frutescens on adrenal steriodogenic cytochrome P450 enzymes’, Journal of Ethnopharmacology 118, 118–126. https://doi.org/10.1016/j.jep.2008.03.019; PMid:18485640
Reyrat, J.M. & Kahn, D., 2001, ‘Mycobacterium smegmatis: An absurd model for tuberculosis’, Trends Microbiology 9(10), 472–474. https://doi.org/10.1016/S0966-842X(01)02168-0
SA Healthinfo, 2009, Traditional medicines, Sutherlandia frutescens herba, viewed 10 May 2012, from http://www.sahealthinfo.org/traditionalmeds/monographs/sutherlandia.htm
Seier, J.V., Mdhluli, M., Dhansay, M.A., Loza, J. & Laubscher, R.A., 2002, Toxicity study of Sutherlandia leaf powder (Sutherlandia frutescens sub-species microphylla) consumption, Medical Research Council, Tygerberg, South Africa.
Van Wyk, B.E., 1997, Medicinal plants of South Africa, Briza Publishers, Pretoria, SA, pp. 246–247.
World Health Organization (WHO), 2007a, Report 2007: Global tuberculosis control. Surveillance, planning, financing, WHO, Geneva.
World Health Organization (WHO), 2007b, The global MDR-TB and XDR-TB response plan, 2007–2008, WHO, Geneva.
|